Feed
Library
Learning
Discuss
Leaderboard
Journal
Sign in
Login
Sign up
Sign in
Feed
Library
Learning
Discuss
Leaderboard
Journal
MM
Morad M
about 4 years ago
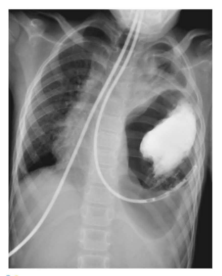
What's your diagnosis?
Medicine
Diagnosis
Xray
316
1
1
Top rated comment
Sonam Lhamo
about 4 years ago
Dextrocardia ??
1
Reply
Other comments
Sign in
to post comments. You don't have an account?
Sign up now!
Related posts
Effects of sugar on teeth
Principles of investigation and diagnosis
Chest X-Rays
Immunostaining diagnosis
Immunostaining diagnosis
Neurofibromatosis
Lactose Intolerance Diagnosis
VRF Diagnosis
Supraventricular tachycardia- Diagnosis
Atrial Septal Defect- Diagnosis
Recent MCQs
Show more MCQs
Recent flashcard sets
Show more flashcards
Feed
Learn
Add
Search
Discuss