Feed
Library
Learning
Discuss
Leaderboard
Journal
Sign in
Login
Sign up
Sign in
Feed
Library
Learning
Discuss
Leaderboard
Journal
Oliver
over 7 years ago
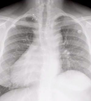
Dextrocardia
Medicine
Cardiology
Dextrocardia
Perfusionistwannabe
21
2
8
Top rated comment
Marina
over 7 years ago
Does it also look enlarged, and the trachea deviated?
2
Reply
Oliver
over 7 years ago
Agreed, It does look enlarged.
1
Other comments
Sign in
to post comments. You don't have an account?
Sign up now!
Related posts
Blue Baby Heart Defect: Tetralogy of Fallot
Angioplasty, Causes, Signs and Symptoms, Diagnosis and Treatment.
Hypertension
Neurofibromatosis
Premature Ventricular Complexes (PVCs)
Tachycardia
Supraventricular Tachycardia
Supraventricular tachycardia- Diagnosis
Patent Ductus Arteriosus- Symptoms
Atrial Septal Defect- Diagnosis
Recent MCQs
Show more MCQs
Recent flashcard sets
Show more flashcards
Feed
Learn
Add
Search
Discuss