Feed
Library
Learning
Discuss
Leaderboard
Journal
Sign in
Login
Sign up
Sign in
Feed
Library
Learning
Discuss
Leaderboard
Journal
Ramsha Zaheer
10 months ago
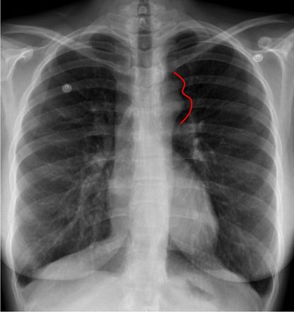
"Figure 3" sign on CXR in a patient with coarctation of aorta
Cardiology
Congenital Heart Disease
Coarctation Of The Aorta
Figure3 Sign
11
0
3
Other comments
Sign in
to post comments. You don't have an account?
Sign up now!
Related posts
Electrocardiogram (ECG) - Normal sinus rhythm (NSR): Clinical Nursing Care
Blue Baby Heart Defect: Tetralogy of Fallot
Angioplasty, Causes, Signs and Symptoms, Diagnosis and Treatment.
Hypertension
Premature Ventricular Complexes (PVCs)
Tachycardia
Supraventricular Tachycardia
Supraventricular tachycardia- Diagnosis
Patent Ductus Arteriosus- Symptoms
Atrial Septal Defect- Diagnosis
Recent MCQs
Show more MCQs
Recent flashcard sets
Show more flashcards
Feed
Learn
Add
Search
Discuss