MEDizzy
MEDizzy
I
Ignacio about 4 years ago
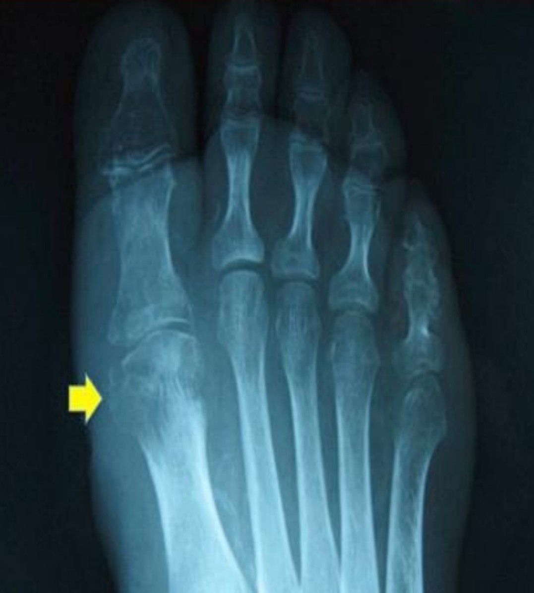
What do you see here?

What do you see here?

An interesting case, old person, injury with firewood in the country with 1 moth of evolution, cant walk well

357
Top rated comment
about 4 years ago

Osteomyelitid?🤔🤔

Other commentsSign in to post comments. You don't have an account? Sign up now!

Recent MCQs

‌
‌

‌
‌

‌
‌

‌
‌

‌
‌
Show more MCQs

Recent flashcard sets

‌
‌

‌
‌

‌
‌

‌
‌

‌
‌
Show more flashcards