
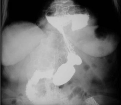
Hiatal hernia refers to protrusion of abdominal contents into the thorax secondary to dilation of esophageal hiatus in diaphragm. There are two types of esophageal hiatal hernia i.e., sliding hiatal hernia and paraesophageal hernia. Sliding hernia is also known as type I hiatal hernia. It is more common than the paraesophageal hiatal hernia. On radiology, it gives a typical ‘hourglass apperacne’. Reference: https://clinicalanatomy.com/mtd1/334-esophageal-hiatus-hernia Image via: https://slideplayer.com/slide/4720524/