
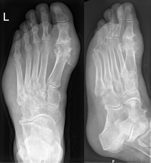
the MTP1 joint is absolutely destroyed caused by chronic rheumatism/ gout (depends on the clinical aspects). Accordingly we can also identify a swelling of the left foot which is normal for chronic rheumatism or gout. The lateral view also shows an exostosis of the Art. talonavicularis.