Feed
Library
Learning
Discuss
Leaderboard
Journal
Sign in
Login
Sign up
Sign in
Feed
Library
Learning
Discuss
Leaderboard
Journal
Dipesh
over 7 years ago
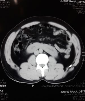
What is the finding? Level - Medium..(Hint is in the hashtag)
Surgery
Radiology
Mbbs Medical Life
Case
Nephrology
show 1 more
551
2
2
Top rated comment
Faiza
over 7 years ago
Answer please 😊
0
Reply
Dipesh
over 7 years ago
HorseShoe kidney
1
Other comments
Sign in
to post comments. You don't have an account?
Sign up now!
Related posts
Endotracheal Intubation
Causes of lump in armpit
Lipoma
Surgical process for apicoectomy
Surgical process for apicoectomy
Surgical process for apicoectomy
Condylectomy
Tmj ankylosis grading
Condylectomy
BurnSlim Official | Support Your Weight Management Journey
Recent MCQs
‌
‌
‌
‌
‌
‌
‌
‌
‌
‌
Show more MCQs
Recent flashcard sets
‌
‌
‌
‌
‌
‌
‌
‌
‌
‌
Show more flashcards
Feed
Learn
Add
Search
Discuss