MEDizzy
MEDizzy
Gunjan Jain
Gunjan Jainover 7 years ago
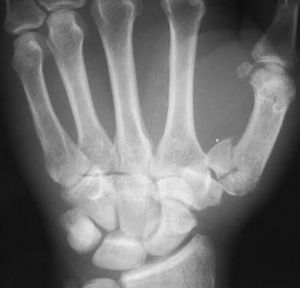
Identity the deformity and treatment

Identity the deformity and treatment

5
Top rated comment
over 7 years ago

Fracture at base of first metacarpal

over 7 years ago

Correct! :) line of management for this fracture?

Other commentsSign in to post comments. You don't have an account? Sign up now!
over 7 years ago

Forearm splint and loose compressive wrap

over 7 years ago

Mainly nonoperative

over 7 years ago

This case is of Bennett's fracture. It is fracture of base of first metacarpal. Usually it is treated with thumb spica and rest but in severe cases, k wires are used for adequate reduction.

Recent MCQs















Show more MCQs

Recent flashcard sets















Show more flashcards