Feed
Library
Learning
Discuss
Leaderboard
Journal
Sign in
Login
Sign up
Sign in
Feed
Library
Learning
Discuss
Leaderboard
Journal
Surgilicious
almost 9 years ago
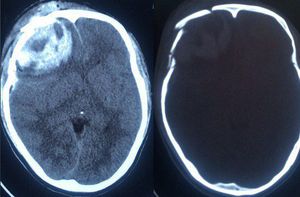
Intracranial haemorhagic with depressed skull fracture
Surgery
Medstudent
Surgeon
Medicalstudent
Trauma
show 3 more
0
0
0
Other comments
Sign in
to post comments. You don't have an account?
Sign up now!
Related posts
Causes of lump in armpit
Lipoma
Traumatic exposure of pulp
Traumatic ulcer
Surgical process for apicoectomy
Surgical process for apicoectomy
Surgical process for apicoectomy
Condylectomy
Tmj ankylosis grading
Condylectomy
Recent MCQs
Show more MCQs
Recent flashcard sets
Show more flashcards
Feed
Learn
Add
Search
Discuss