
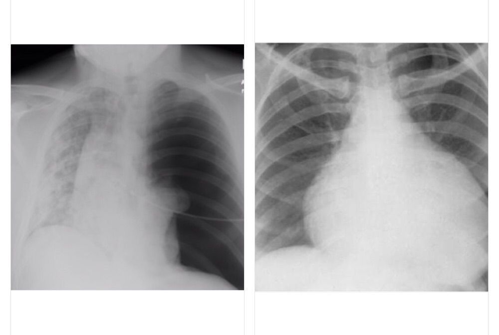
Above left is a X-ray of tension pneumothorax.you can appreciate the air accumulation which is darker area there.it’s mostly of penetrating trauma rather blunt injury. A life threatening event ,caused by accumulation of air the pleural space due to breach in the 🫁 surface(stab injury),medical ,surgical causes.this breach act as a one way -which leads to positive pressure accumulation-shifting mediastinum to other side.Needle decompression f/b tube thoracostomy in the 2nd IC space midclavicular line is the management. Above right side is the X-ray of cardiac tamponade -medical emergency-due to accumulation of blood ,fluid in the pericardial space due to chest trauma, aortic rupture,TB,cancer,pericarditis,MI,etc.. immediate drainage should be done.-pericardiocentesis(subxiphoid -for unstable patients).immediate radio confirmation and Echo is required. clinically both may look similar but we can differentiate. T-pneumothorax:— 1.no breathe sounds (hyper resonance on percussion)2.increased JVP 3.hypotension. Cardiac tamponade:—1.muffled heartsounds 2.increased JVP 3.hypotension{BECKS TRIAD}.