MEDizzy
MEDizzy
Surgilicious
Surgiliciousalmost 9 years ago
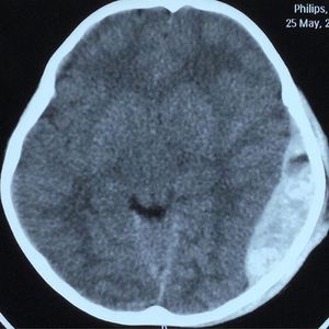
Massive epidural hematoma 

Massive epidural hematoma 

Massive epidural hematoma ( volume : 96,4 cc), a young boy admitting to ER with LOC after RTA. Note the swirl sign indicating there is a on going bleeding 

0
Other commentsSign in to post comments. You don't have an account? Sign up now!

Recent MCQs















Show more MCQs

Recent flashcard sets















Show more flashcards