
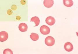
G6PD Deficiency is an X-linked enzymatic defect that most commonly affect males. The enzyme Glucose-6-phosphate dehydrogenase is responsible for regenerating GSH that is involved in protecting the body from oxidants. In case of deficiency, the oxidants targets the hemoglobin in the RBCs causing it to denature and precipitate forming Heinz bodies. These Heinz bodies in turn damage red cell membrane causing hemolysis and the disease is manifested in the form of haemolytic anemia. The cells that the less damaged when pass thorough the spleen containing these Heinz bodies are converted to bite cells as the phagocytes pluck out these bodies. Picture credit: https://step1.medbullets.com/hematology/107038/g6pd-deficiency