MEDizzy
MEDizzy
Zunaira saleh
Zunaira salehabout 1 year ago
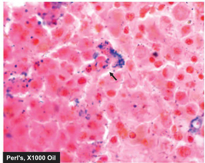
Sideroblastic anaemia

Sideroblastic anaemia

Sideroblastic anaemia bone marrow aspirate smear in Perls’ stain shows marked excess of reticular iron and a ringed sideroblast (arrow) showing Prusian blue granules in the cytoplasm.

0
Other commentsSign in to post comments. You don't have an account? Sign up now!

Recent MCQs















Show more MCQs

Recent flashcard sets















Show more flashcards