Feed
Library
Learning
Discuss
Leaderboard
Journal
Sign in
Login
Sign up
Sign in
Feed
Library
Learning
Discuss
Leaderboard
Journal
Marta
over 8 years ago
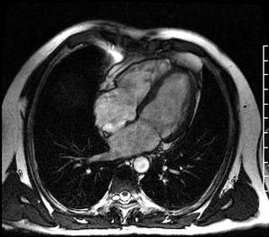
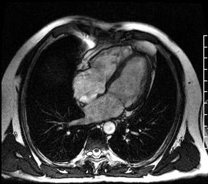
Anatomy
Heart
Mri
Thorax
Heartbeat
6
0
3
Other comments
Sign in
to post comments. You don't have an account?
Sign up now!
Related posts
Head and neck in lateral oblique view.
DNA vs RNA - Differences in Form and Function | Stated Clearly
SternocleidoMastoid Muscle
Neck Anatomy - Organisation of the Neck - Part 1
Sublingual gland anatomy
Brain Blood Supply
Anatomy of Oral Cavity
Neck Muscles
Supraventricular Tachycardia
Recent MCQs
Show more MCQs
Recent flashcard sets
Show more flashcards
Feed
Learn
Add
Search
Discuss