Feed
Library
Learning
Discuss
Leaderboard
Journal
Sign in
Login
Sign up
Sign in
Feed
Library
Learning
Discuss
Leaderboard
Journal
Ramsha Zaheer
almost 2 years ago
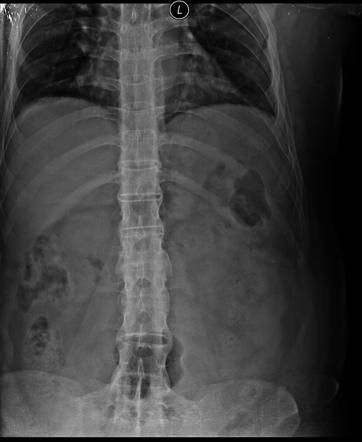
Bamboo Spine on X-ray in a patient with Ankylosing Spondylitis
Rheumatology
X Ray
Spondylitis
Bamboo Spine
Ankylosing
5
0
4
Other comments
Sign in
to post comments. You don't have an account?
Sign up now!
Related posts
Lupus Pernio in Sarcoidosis
Periorbital Edema in Dermatomyositis
Nailfold Capillaroscopy in Rheumatic Disease
Scleromyxedema
Symptoms of rheumatic fever
gouty arthritis symptoms
gout treatment
gout causes
Leucocytoclastic Vasculitis
Familial mediterranean fever
Recent MCQs
Show more MCQs
Recent flashcard sets
Show more flashcards
Feed
Learn
Add
Search
Discuss