
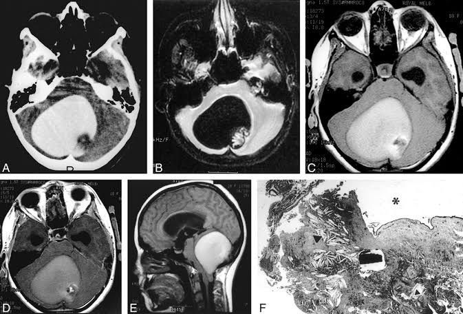
A dermoid cyst is a developmental anomaly characterized by a saclike growth that is present at birth. It grows slowly and are not tender unless ruptured. It may contain structures such as hair, fluid, teeth and usually occur on the face, inside the skull, on the lower back, and in the ovaries. Dermoid cysts account for ~0.5% of all primary intracranial tumors and are slightly more common in females. Intracranially, they are typically located in the midline and grow towards one side or the other. Locations include: midline sellar and suprasellar parasellar frontonasal region posterior fossa/vermis Credits : https://radiopaedia.org/articles/intracranial-dermoid-cyst-1 http://www.ajnr.org/content/22/10/1970