
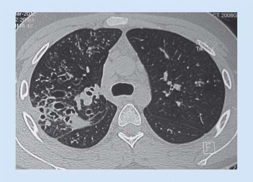
Allergic Bronchopulmonary Aspergillosis is essentially a hypersensitivity reaction to a fungus known as aspergillosis fumigatus. Though common in environment, this fungus does not cause allergic reaction in all the individuals who come in contact with it. The allergic reaction affects the lungs. There is a strong association between Allergic Bronchopulmonary Aspergillosis with cystic fibrosis and asthma. The patient with Allergic Bronchopulmonary Aspergillosis presents with: - Productive cough with brown or blood-stained sputum - Malaise - Weakness - Fever The diagnosis of Allergic Bronchopulmonary Aspergillosis is made on the basis of history, clinical picture, and investigations such as hematology profile and radiology. In asthmatic patients, it is imperative to continue the medication in order to maintain the airways to facilitate the expulsion of fungus from lungs. Oral itraconazole is also given, however, its use is controversial. Reference: https://www.aaaai.org/Conditions-Treatments/related-conditions/allergic-bronchopulmonary-aspergillosis Image via: https://www.futuremedicine.com/doi/10.2217/fmb.14.74