
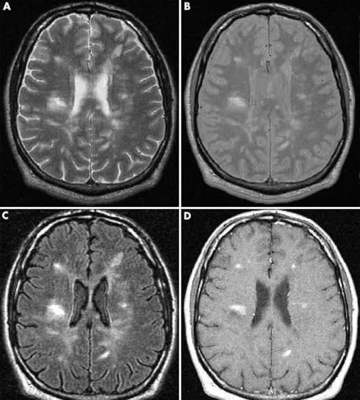
Multiple sclerosis (MS) is a relatively common acquired chronic relapsing demyelinating disease involving the central nervous system, and is the second most common cause of neurological impairment in young adults, after trauma 19. Characteristically, and by definition, multiple sclerosis is disseminated not only in space (i.e. multiple lesions in different regions of the brain) but also in time (i.e. lesions occur at different times). A number of clinical variants are recognised, each with specific imaging findings and clinical presentation. They include: - Classic multiple sclerosis (Charcot type) - Tumefactive multiple sclerosis - Marburg type (acute malignant) - Schilder type (diffuse cerebral sclerosis) - Balo concentric sclerosis Clinical presentation is both highly variable acutely, as a result of varying plaque location, as well as over time. Examples of common clinical features include: Brainstem and cranial nerve involvement: - optic neuritis - internuclear ophthalmoplegia (often bilateral) - trigeminal neuralgia - diplopia (e.g. due to abducens nerve palsy) - vertigo Cerebellum involvement: - ataxia and gait disturbance - oscillopsia Cerebrum and spinal cord involvement: - limb sensory loss or paraesthesias - upper motor neurone signs - Lhermitte sign - urinary incontinence Others: - fatigue - depression - cognitive decline [ Via Medicos ]