MEDizzy
MEDizzy
Tara
Taraover 4 years ago
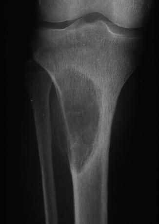
For the critical thinkers ONLY. πŸ€“ what is your diagnosis

For the critical thinkers ONLY. πŸ€“ what is your diagnosis

2
Top rated comment
over 4 years ago

A spoiler -> this is a mass which forms due to HPTH 🧩

over 4 years ago

Yess well doneπŸŽ‰πŸ₯³

over 4 years ago

Browns tumor

Other commentsSign in to post comments. You don't have an account? Sign up now!
over 4 years ago

osteosarcoma?

over 4 years ago

Osteosarcoma

over 4 years ago

Bone cyst

over 4 years ago

Rare intraosseus lipoma

Recent MCQs

β€Œ
β€Œ

β€Œ
β€Œ

β€Œ
β€Œ

β€Œ
β€Œ

β€Œ
β€Œ
Show more MCQs

Recent flashcard sets

β€Œ
β€Œ

β€Œ
β€Œ

β€Œ
β€Œ

β€Œ
β€Œ

β€Œ
β€Œ
Show more flashcards