
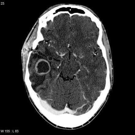
Brain abscess is a focal suppurative infection of the brain parenchyma commonly caused by streptococci but can be polymicrobial as well. It most commonly affects the frontal lobe, followed by the parietal lobe. Patients commonly present with headache, which is dull and constant in character, focal neurologic deficits, seizures, signs of raised intracranial pressure, and oculomotor and abducens nerve palsy. CT scan is the best initial test for the diagnosis, which shows a ring-enhancing lesion with a low-density core. Treatment is done by intravenous broad-spectrum antibiotics for at least 6-8 weeks.