Feed
Library
Learning
Discuss
Leaderboard
Journal
Sign in
Login
Sign up
Sign in
Feed
Library
Learning
Discuss
Leaderboard
Journal
Sidra Jabeen
over 4 years ago
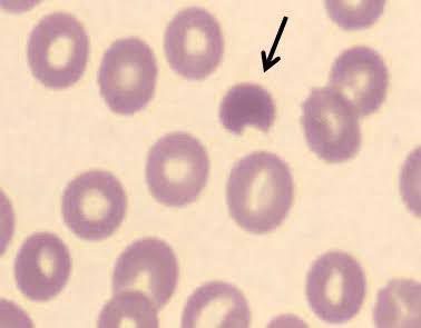
Bite cells or Degmacytes
Bite cells and heinz bodies are seen in which type of anemia?
Anemia
Bitecells
Heinzbodies
6
1
1
Top rated comment
Esse medicus
over 4 years ago
Hemolytic anemia
1
Reply
Other comments
Sign in
to post comments. You don't have an account?
Sign up now!
Related posts
Classification of Anemia
Pernicious Anemia
Iron deficiency anaemia.
Sideroblastic anaemia
Type of Anemia
Symptoms of Anemia
Types of Anemia I
Types of Anemia II
Macrocytic Anemia Causes: Mnemonic Breakdown
Pernicious anaemia
Recent MCQs
Show more MCQs
Recent flashcard sets
Show more flashcards
Feed
Learn
Add
Search
Discuss