Feed
Library
Learning
Discuss
Leaderboard
Journal
Sign in
Login
Sign up
Sign in
Feed
Library
Learning
Discuss
Leaderboard
Journal
Vincent Lee
over 4 years ago
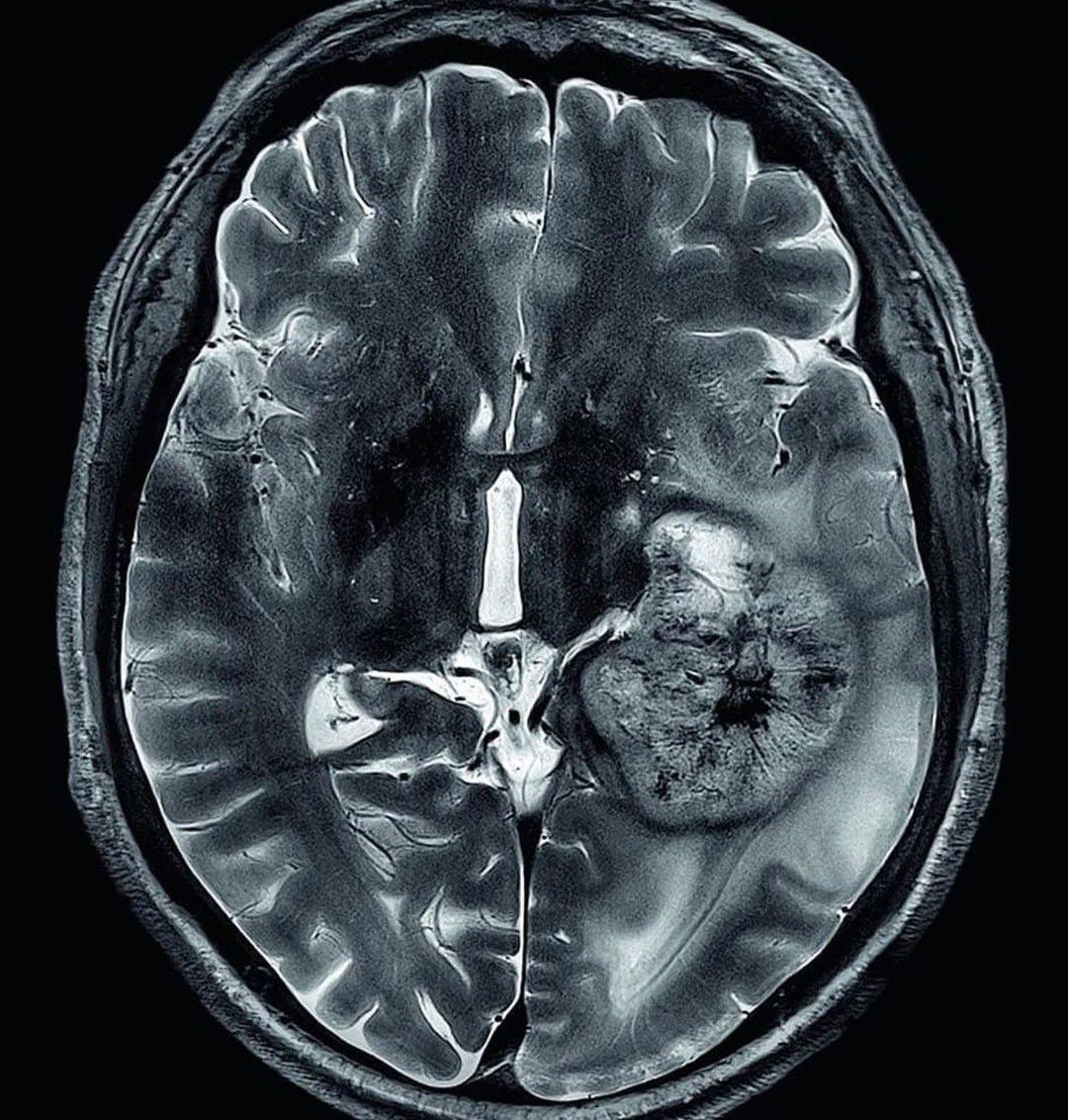
MR of a Brain Tumor đ§
Medicine
Medstudent
Neurology
Neurosurgery
25
1
6
Top rated comment
A
Aleksander
over 4 years ago
Witch tumor? Malignum or benignum?
0
Reply
Other comments
Sign in
to post comments. You don't have an account?
Sign up now!
Related posts
â
Breastfeeding and Medications II
Dandy Walker Malformation | Diagnosis symptoms and treatment
2-Minute Neuroscience: Brain Aneurysms
Seizures (Epilepsy) Nursing NCLEX: Tonic-Clonic, Generalized, Focal, Symptoms
Stroke: Causes, Risk Factors, Treatment, and Prevention | Mass General Brigham
Effects of sugar on teeth
Neurofibromatosis
Absence seizures
Symptoms of absence seizures
Recent MCQs
â
â
â
â
â
â
â
â
â
â
Show more MCQs
Recent flashcard sets
â
â
â
â
â
â
â
â
â
â
Show more flashcards
Feed
Learn
Add
Search
Discuss