
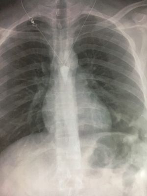
Anyone can tell me why is it a bronchitis? How we see it is a bronchitis disease??
He smokes cigarettes for five years In the winter he has sometimes cough I feel he has mucus in the throat when he sleeps
Ans plz with explanations?? If possible tell how to R/o from other dd's