
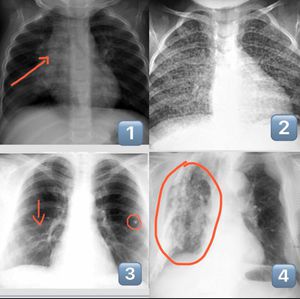
This weeks topic I'm presenting is Tuberculosis. Above you can see four possible radiological findings in pulmonary Tuberculosis (TB). 1. Lymphadenopathy due to primary TB 2. Miliary TB may be observed in primary and Post-primary TB 3. Ghon focus (calcification) as outcome of primary TB 4. Huge cavitations and calcifications as outcome of post-primary TB Tuberculosis is still a disease not only developing countries are fighting. Some European countries have difficulties treating tuberculosis because of highly resistant forms. Tuberculosis is caused by Mycobacterium tuberculosis spreading through air via droplets. Active and latent TB is differentiated as only active TB is contagious. Especially immune suppressed patients (HIV/AIDS, iv drug users/ alcoholics, certain cancers) are prone to develop tuberculosis. Intense exposure to micro organism may infect healthy as well. Healthcare workers in permanent contact with infected people are at high risk of developing this condition. Symptoms include coughing up blood, chest pain, chills, night sweats. As tuberculosis might affect other organs blood in urine or back pain can also be experienced. TB can be diagnosed by a tuberculin quick-test or more recently Gamma interferon Test, x-ray of lungs and for definitive diagnosis culture of Mycobacterium tuberculosis. Clinically we differentiate between Primary and Post-primary TB which will be discussed later this week.