
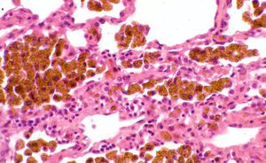
Hemosiderosis is a condition when due to intra-alveolar hemorrhage iron in form of hemosiderin is found in lungs. This bleeding can be caused by cardiovascular diseases, infections and many other reasons. Also in a lot of cases etiology is idiopathic. You see in the picture how macrophages are full of hemosiderin, that's why the macrophages have a brownish appearance.