
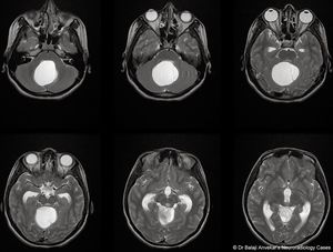
Pilocytic astrocytoma is a brain tumor that occurs more often in children and young adults (in the first 20 years of life). They usually arise in the cerebellum, near the brainstem, in the hypothalamic region, or the optic chiasm, but they may occur in any area where astrocytes are present, including the cerebral hemispheres and the spinal cord. These tumors are usually slow growing and benign.[1] The neoplasms are associated with the formation of a single (or multiple) cyst(s), and can become very large. Children affected by pilocytic astrocytoma can present with different symptoms that might include failure to thrive (lack of appropriate weight gain), headache, nausea, vomiting, irritability, torticollis (tilt neck or wry neck) difficulty to coordinate movements and visual complaints (including nystagmus).