Feed
Library
Learning
Discuss
Leaderboard
Journal
Sign in
Login
Sign up
Sign in
Feed
Library
Learning
Discuss
Leaderboard
Journal
Sandip Chandra
almost 5 years ago
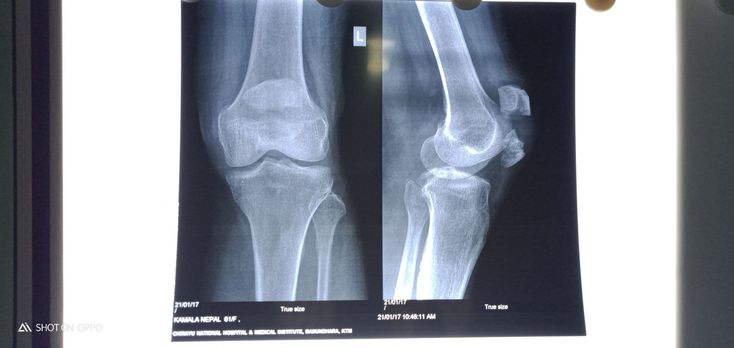
What is your diagnosis
Surgeon
Diagnosis
Practice
552
1
2
Top rated comment
A M B King
almost 5 years ago
Multiple fracture of patella
0
Reply
Other comments
Sign in
to post comments. You don't have an account?
Sign up now!
Related posts
Buccal space infection
Effects of sugar on teeth
Principles of investigation and diagnosis
Immunostaining diagnosis
Immunostaining diagnosis
Scope of practice of NREMT
Lactose Intolerance Diagnosis
VRF Diagnosis
Supraventricular tachycardia- Diagnosis
Atrial Septal Defect- Diagnosis
Recent MCQs
Show more MCQs
Recent flashcard sets
Show more flashcards
Feed
Learn
Add
Search
Discuss