
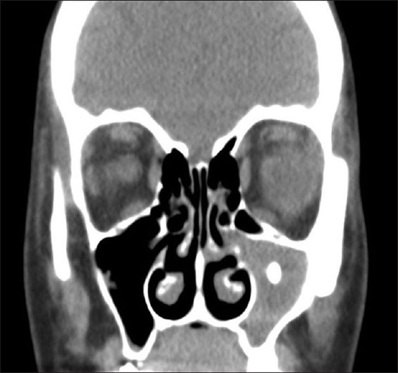
A 35 year old female presented to OPD with a complaint of recurrent nasal obstruction for the past 18 months. The nasal obstruction was more frequent in left side as compared to right side. Bilateral frontal headache along with loss of sensation of smell was also reported. On examination, there was bilateral inferior turbinates hypertrophy. However, anterior septal deviation towards left side with no polyps or discharge was also seen. The patient underwent routine pre-operative assessment. A paranasal sinuses CT was also performed which revealed a soft tissue radiodense mass in left maxillary sinus. A suspicion of foreign body in the floor of maxillary sinus was made. Functional Endoscopic Sinus Surgery (FESS) was planned and the foreign body was removed by suction. However, during exploration an object which looked like an entrapped tooth with no attachement to sinus walls, was seen. The object was extracted and sent for histopathology, which revealed it to have the exact consistency of a tooth. There were no post-procedure complications seen and the patient was discharged the very next day. Ref: Alwabili M, Aloulah M, Alsuwaidan R, Altuwaijri A. Tooth in maxillary sinus, less than what commonly anticipated. Saudi J Otorhinolaryngol Head Neck Surg [serial online] 2019 [cited 2020 Nov 18];21:52-4. Available from: https://www.sjohns.org/text.asp?2019/21/2/52/269715