MEDizzy
MEDizzy
t
tsezayaalmost 5 years ago
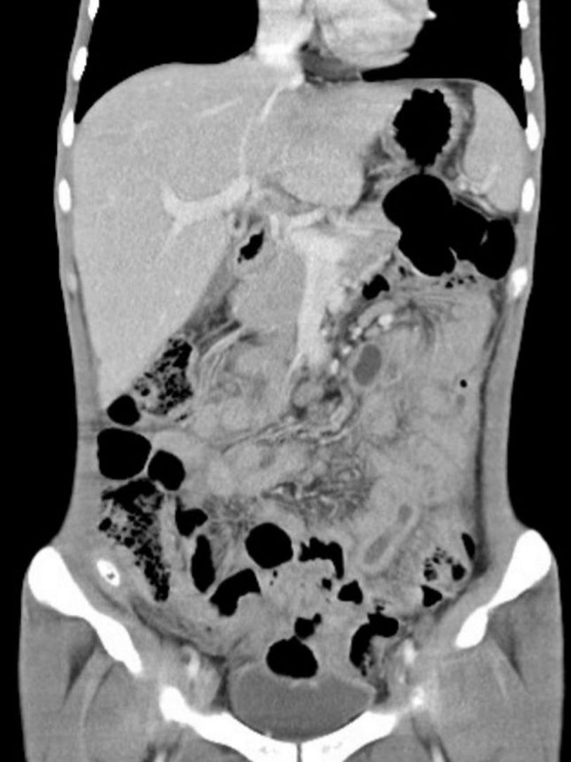
Hello. What is the diagnosis . 21old male , symptoms: weight loss, poor appetite, abdominal cramping and diarrhea

Hello. What is the diagnosis . 21old male , symptoms: weight loss, poor appetite, abdominal cramping and diarrhea

576
Top rated comment
almost 5 years ago

Crohn

Other commentsSign in to post comments. You don't have an account? Sign up now!
almost 5 years ago

It could be diverticulitis

almost 5 years ago

TB

almost 5 years ago

tuberculosis

almost 5 years ago

?

almost 5 years ago

TB

almost 5 years ago

Ibd, celiac, lactose/fructose intolerance

almost 5 years ago

More details and investigations, take full history ( onset, duration, drug & family history, ...etc), these are non specific symptoms

almost 5 years ago

It Can be Intestinal TB Deverticulosis HIV AIDS

almost 5 years ago

abd TB

12

Recent MCQs















Show more MCQs

Recent flashcard sets















Show more flashcards