
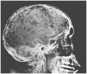
A 46-year-old man presented to the emergency department with a 1-month history of fatigue, shortness of breath, and low back pain and report of a weight loss of 30 kg over the previous 10 months. On physical examination, his conjunctiva and palms were pale. Laboratory evaluation revealed a hemoglobin level of 4.9 g per deciliter (reference range, 12 to 16), a creatinine level of 5.4 mg per deciliter (480 μmol per liter; reference range, 0.4 to 1.0 mg per deciliter [35 to 88 μmol per liter]), and a calcium level of 12 mg per deciliter (3 mmol per liter; reference range, 8.9 to 10.3 mg per deciliter [2.2 to 2.6 mmol per liter]). A skeletal survey showed diffuse osteopenia, a pubic bone fracture, and numerous radiolucent lesions on the skull, which had an appearance known as “raindrop skull” — a pattern of lytic or punched-out lesions that resemble raindrops hitting a surface and splashing. These findings are characteristic of multiple myeloma. The diagnosis was confirmed by bone marrow biopsy and aspirate samples that showed 50% clonal plasma cells in the marrow; serum protein electrophoresis revealed a monoclonal IgA paraprotein. Initial management included red-cell transfusion for treatment of anemia and hydration to correct hypercalcemia. The patient did not respond well to induction therapy and died 3 months after diagnosis. Fabio Solis, M.D. Cesar Gonzalez, M.D. Hospital General de Mexico, Mexico City, Mexico source: nejm.org