MEDizzy
MEDizzy
wiktoriajuliakr
wiktoriajuliakrover 7 years ago
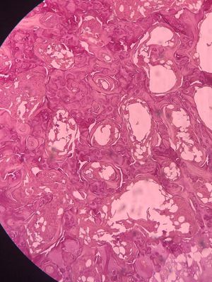
Could you recognise this tissue?

Could you recognise this tissue?

584
Top rated comment
over 7 years ago

Toilet tissue?

over 7 years ago

😂😂😂😂

over 7 years ago

😂

Other commentsSign in to post comments. You don't have an account? Sign up now!
over 7 years ago

Prostate..?

over 7 years ago

Nope😉

over 7 years ago

Kidney?🙂

over 7 years ago

Pancreatic gland ?

over 7 years ago

Nope 😉

over 7 years ago

Hypophisis

over 7 years ago

Nope😊

over 7 years ago

Thyroid???

over 7 years ago

Nope. 😉

over 7 years ago

Ovum?

over 7 years ago

Nope 😊

over 7 years ago

Simple cuboidal

over 7 years ago

Spleen

over 7 years ago

Thyroid

1…4

Recent MCQs

‌
‌

‌
‌

‌
‌

‌
‌

‌
‌
Show more MCQs

Recent flashcard sets

‌
‌

‌
‌

‌
‌

‌
‌

‌
‌
Show more flashcards