Feed
Library
Learning
Discuss
Leaderboard
Journal
Sign in
Login
Sign up
Sign in
Feed
Library
Learning
Discuss
Leaderboard
Journal
T
Tonni
about 5 years ago
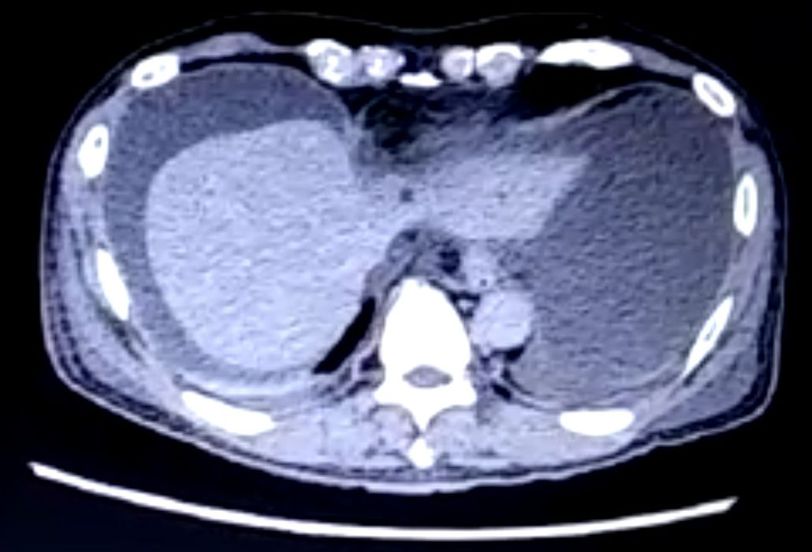
Liver CT scan
Male patient, 62 years old with hep B infection, what's the interpretation of this CT scan?
Abdominal
Helpme
Pleasehelp
Abdominal Liver
Liver Imaging
show 2 more
1
0
0
Other comments
Sign in
to post comments. You don't have an account?
Sign up now!
Related posts
Symptoms of Fasciolopsiasis
Specific paediatric entities causes abdominal pain and Vomiting
Lead Poisoning
Paradoxical Abdominal Movement and Diaphragmatic Paralysis with Paradoxical Abdominal Movement
Large-Bowel Obstruction from Hereditary Angioedema
Abdominal Ectopic Pregnancy
Abdominal Aorta and it's branches
Abdominal pain
Abdominal Regions
Abdominal Examination - Clinical Skills - Medical School Revision - Dr Gill
Recent MCQs
Show more MCQs
Recent flashcard sets
Show more flashcards
Feed
Learn
Add
Search
Discuss