Feed
Library
Learning
Discuss
Leaderboard
Journal
Sign in
Login
Sign up
Sign in
Feed
Library
Learning
Discuss
Leaderboard
Journal
Prashant Yadav
about 5 years ago
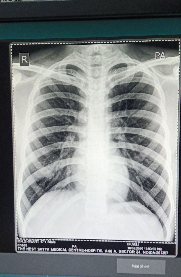
X-ray
Diagnosis this x-ray
Xray
Coughing
Asthama
8
0
0
Other comments
Sign in
to post comments. You don't have an account?
Sign up now!
Related posts
Osteosarcoma
Mesenchymal Chondrosarcoma.
Identify the Pathology
Ankle X-ray Anatomy
Lateral Ankle X-ray Anatomy
Pediatric Ankle X-ray Anatomy
Hip X-ray Anatomy
Lateral Hip X-ray Anatomy
Pelvic X-ray Anatomy
Chest X-Rays
Recent MCQs
Show more MCQs
Recent flashcard sets
Show more flashcards
Feed
Learn
Add
Search
Discuss