MEDizzy
MEDizzy
wiktoriajuliakr
wiktoriajuliakrover 7 years ago
What is it?

What is it?

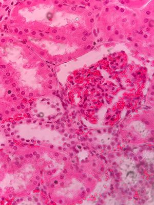
Hi! I have histological sample for u! Can you guess what is it?

34
Top rated comment
over 7 years ago

Glomerulus with convoluted tubes... 😉

Other commentsSign in to post comments. You don't have an account? Sign up now!
over 7 years ago

Kidney.....?

over 7 years ago

Kidney

over 7 years ago

Pancreas?

over 7 years ago

I think thyroid follicles.

over 7 years ago

Testis??

over 7 years ago

May be Kidney

over 7 years ago

Kidney

over 7 years ago

Kidney ??

over 7 years ago

Kidney!

over 7 years ago

Kidney! Maybe cortex

1…2

Recent MCQs

‌
‌

‌
‌

‌
‌

‌
‌

‌
‌
Show more MCQs

Recent flashcard sets

‌
‌

‌
‌

‌
‌

‌
‌

‌
‌
Show more flashcards