Feed
Library
Learning
Discuss
Leaderboard
Journal
Sign in
Login
Sign up
Sign in
Feed
Library
Learning
Discuss
Leaderboard
Journal
Dc
Dr curious
over 5 years ago
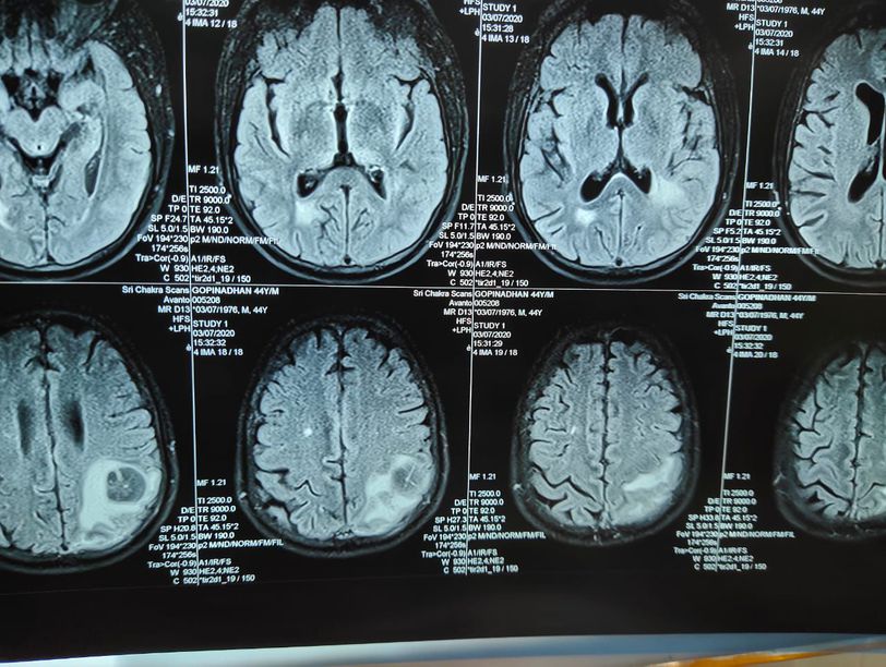
Diagnosis?
Diagnosis
Neurology
Gm
533
2
0
Other comments
Sign in
to post comments. You don't have an account?
Sign up now!
Jeevan R
over 5 years ago
Brain infraction
0
Reply
MD Motiur Rahman Rubel
over 5 years ago
Hemorrhage
0
Reply
Related posts
Immunostaining diagnosis
Neurofibromatosis
Lactose Intolerance Diagnosis
Absence seizures
Symptoms of absence seizures
VRF Diagnosis
Supraventricular tachycardia- Diagnosis
Atrial Septal Defect- Diagnosis
Acute Abdomen Differential Diagnosis
https://www.facebook.com/StableGripSafetyBarOfficial/
Recent MCQs
Show more MCQs
Recent flashcard sets
Show more flashcards
Feed
Learn
Add
Search
Discuss