MEDizzy
MEDizzy
A
Arpitover 7 years ago
CVP misplaced?

CVP misplaced?

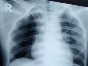
Post procedure xray of lt subclavian cvp line insertion.. Is it misplaced? Does it need repositioning?

546
Top rated comment
over 7 years ago

Definitely. It is curled in the axial

Other commentsSign in to post comments. You don't have an account? Sign up now!

Recent MCQs















Show more MCQs

Recent flashcard sets















Show more flashcards