Feed
Library
Learning
Discuss
Leaderboard
Journal
Sign in
Login
Sign up
Sign in
Feed
Library
Learning
Discuss
Leaderboard
Journal
Dr. Aisha Karimova
over 5 years ago
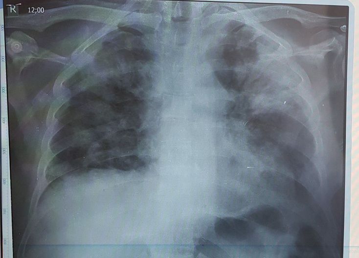
COVID-19 BEFORE TREATMENT
Infection
Lung
Coronavirus
Pneumonia
Covid 19
show 3 more
4
0
0
Other comments
Sign in
to post comments. You don't have an account?
Sign up now!
Related posts
Acute suppurative osteomyelitis
Acute suppurative osteomyelitis
Garre's osteomyelitis
Drug Safety Alerts-Infection
Bacterial parotitis
Bacterial parotitis
The Buccal Space Infection- Clinical Presentation
Paths of infection spread from lower molars.
Sarcoidosis
Collapse of the left upper lobe of lung
Recent MCQs
Show more MCQs
Recent flashcard sets
Show more flashcards
Feed
Learn
Add
Search
Discuss