
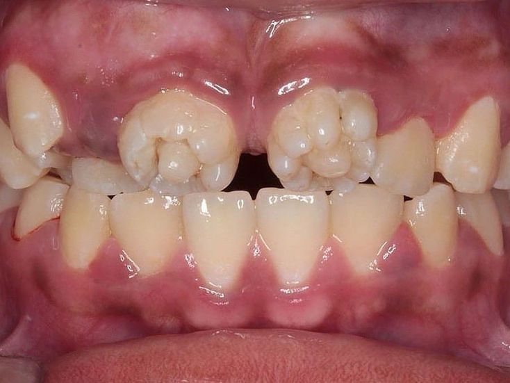
Mulberry molars are a dental condition usually associated with congenital syphilis, characterized by multiple rounded rudimentary enamel cusps on the permanent first molars. Mulberry molars are physically defective permanent molars. The deformity is caused by congenital syphilis.