MEDizzy
MEDizzy
Losanda
Losanda almost 8 years ago
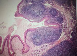
Guess !! what is this !?

Guess !! what is this !?

13
Top rated comment
almost 8 years ago

Palatine tonsil

almost 8 years ago

Yes 👍

Other commentsSign in to post comments. You don't have an account? Sign up now!
almost 8 years ago

Ileum

almost 8 years ago

No ..

almost 8 years ago

Appendix??

almost 8 years ago

Yeh.it's lymphoid tissue, but it's a tonsile

almost 8 years ago

It looks like peyers patch... so might be ileum

almost 8 years ago

Surface epithelium bro see

almost 8 years ago

Ileum has tall columnar epithelium

almost 8 years ago

Appendix

Recent MCQs

‌
‌

‌
‌

‌
‌

‌
‌

‌
‌
Show more MCQs

Recent flashcard sets

‌
‌

‌
‌

‌
‌

‌
‌

‌
‌
Show more flashcards