MEDizzy
MEDizzy
Ardit
Arditover 5 years ago
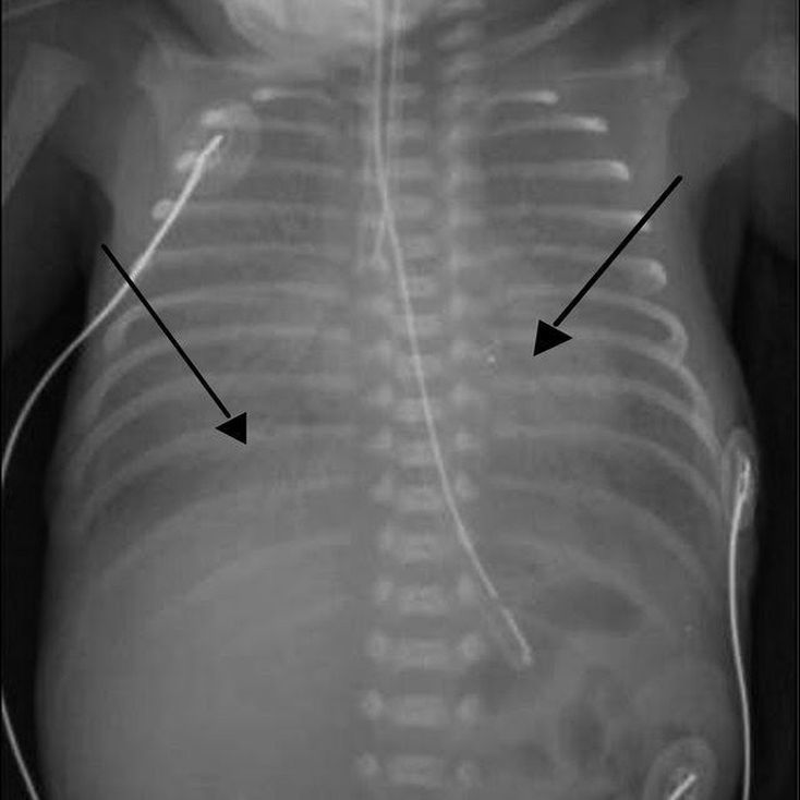
Infant respiratory distress syndrome

Infant respiratory distress syndrome

We can see “ground glass” appearance, which represents diffuse microatelectasis, and air bronchograms (arrows). Ethiology: Preterm labor-low surfactant-atelectasis.

7
Top rated comment

I can't see anything

Other commentsSign in to post comments. You don't have an account? Sign up now!

Recent MCQs















Show more MCQs

Recent flashcard sets















Show more flashcards