
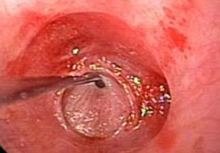
Plummer–Vinson syndrome is a rare disease characterized by difficulty swallowing, iron-deficiency anemia, glossitis, cheilosis and esophageal webs. Treatment with iron supplementation and mechanical widening of the esophagus generally provides an excellent outcome.