
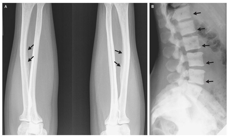
A 47-year-old woman was referred for bone pain and abnormal findings on radiography. The patient reported that for the past 17 years, she has habitually consumed a pitcher of tea made from 100 to 150 tea bags daily (estimated fluoride intake, >20 mg per day). She reported a 5-year history of pain in the lower back, arms, legs, and hips. Because of brittleness, all her teeth had been extracted. Radiography of the forearm revealed interosseous membrane calcifications (Panel A, arrows), and radiography of the spine revealed a rugger-jersey appearance (striated pattern of increased density in the upper and lower zones of the vertebrae) (Panel B, arrows), suggesting skeletal fluorosis. The serum fluoride concentration was 0.43 mg per liter (23 μmol per liter; normal concentration, <0.10 mg per liter [5 μmol per liter]). Skeletal fluorosis is endemic in areas with high concentrations of fluoride in the drinking water, but it is rare in other parts of the world. Brewed tea has one of the highest fluoride contents among beverages in the United States. After appropriate counseling, the patient discontinued tea consumption, with improvement in her symptoms. Since it can take years to deplete skeletal fluoride, we are considering whether to increase bone remodeling with the intermittent use of teriparatide to facilitate the elimination of skeletal fluoride.