MEDizzy
MEDizzy
Zunaira saleh
Zunaira saleh10 months ago
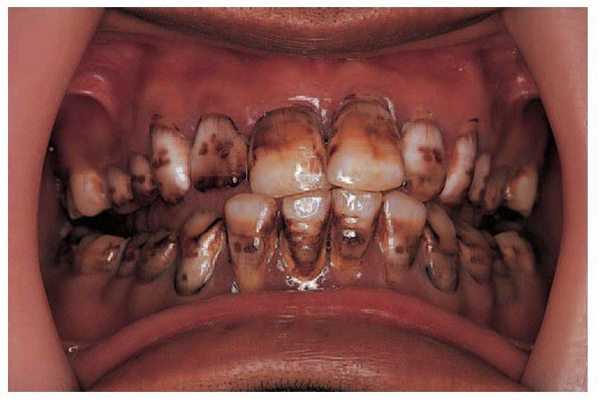
Fluorosis

Fluorosis

. Severe effects from an area of endemic fl uorosis. Closer view showing irregular depressions caused by hypoplasia and white opaque fl ecks and patches.

0
Other commentsSign in to post comments. You don't have an account? Sign up now!

Recent MCQs















Show more MCQs

Recent flashcard sets















Show more flashcards