Feed
Library
Learning
Discuss
Leaderboard
Journal
Sign in
Login
Sign up
Sign in
Feed
Library
Learning
Discuss
Leaderboard
Journal
C
Carlos
almost 6 years ago
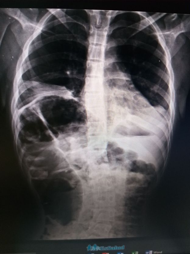
Pediatric case
And
Cough
Constipation
Old
Girl
show 3 more
3
0
2
Other comments
Sign in
to post comments. You don't have an account?
Sign up now!
Related posts
What medical treatments can help with constipation?
Chronic Cough- Causes
34y/o female chest xray
Lymphocytosis
.Old myocardial infarct
Signs of Constipation
DRY COUGH
Common causes of dry cough
How to get rid of cough?
Tips to avoid cough
Recent MCQs
Show more MCQs
Recent flashcard sets
Show more flashcards
Feed
Learn
Add
Search
Discuss