MEDizzy
MEDizzy
Rajkumar Thota
Rajkumar Thotaalmost 6 years ago
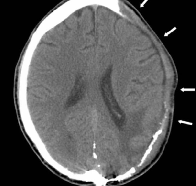
Craniectomy

Craniectomy

Decompressive craniectomy is a neurosurgical procedure in which part of the skull is removed to allow a swelling brain room to expand without being squeezed. It is performed on victims of traumatic brain injury, stroke and other conditions associated with raised intracranial pressure.

73
Other commentsSign in to post comments. You don't have an account? Sign up now!
over 5 years ago

W

over 5 years ago

Omg

over 5 years ago

Is that cancer

over 5 years ago

Craniectomy

over 5 years ago

Skull

over 5 years ago

Skull cancer

over 5 years ago

Cranium

over 5 years ago

Craniectomy

over 5 years ago

Blood clot?

almost 5 years ago

Omg

12

Recent MCQs















Show more MCQs

Recent flashcard sets















Show more flashcards