Feed
Library
Learning
Discuss
Leaderboard
Journal
Sign in
Login
Sign up
Sign in
Feed
Library
Learning
Discuss
Leaderboard
Journal
Lina Alshaheen
almost 3 years ago
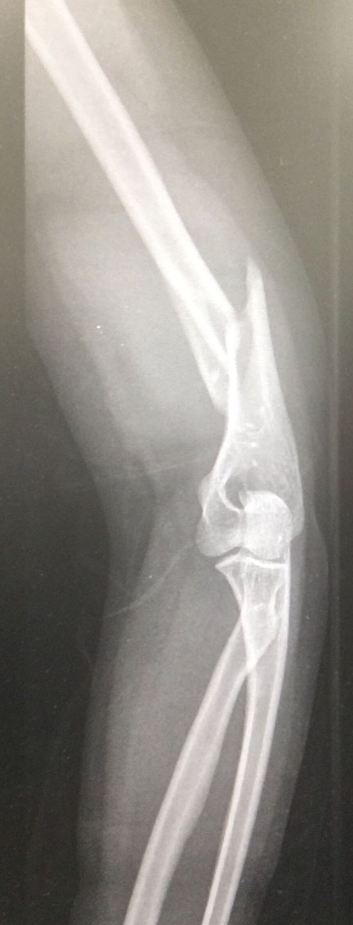
RTA patient
Distal humerus fracture
Surgery
Emergency
Hospital
Fracture
Rta
36
1
6
Top rated comment
Syed Yousuf Ali
almost 3 years ago
Distal end of humerus fracture
0
Reply
Other comments
Sign in
to post comments. You don't have an account?
Sign up now!
Related posts
Causes of lump in armpit
Lipoma
Surgical process for apicoectomy
Surgical process for apicoectomy
Surgical process for apicoectomy
Condylectomy
Tmj ankylosis grading
Condylectomy
Reversible Causes for Emergent Conditions
BurnSlim Official | Support Your Weight Management Journey
Recent MCQs
Show more MCQs
Recent flashcard sets
Show more flashcards
Feed
Learn
Add
Search
Discuss