Feed
Library
Learning
Discuss
Leaderboard
Journal
Sign in
Login
Sign up
Sign in
Feed
Library
Learning
Discuss
Leaderboard
Journal
Daniel Gaughan
over 7 years ago
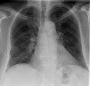
Chest xray..
Can anyone guess the diagnosis
Xray
Chestmedicine
Learning
Anysuggestions
6
3
1
Other comments
Sign in
to post comments. You don't have an account?
Sign up now!
Gangadhar
over 7 years ago
TB
0
Reply
Muhammed
over 7 years ago
Cardiomegally?
0
Reply
Daniel Gaughan
over 7 years ago
Pulmonary embolism
0
Reply
Related posts
Mesenchymal Chondrosarcoma.
Identify the Pathology
Ankle X-ray Anatomy
Lateral Ankle X-ray Anatomy
Pediatric Ankle X-ray Anatomy
Hip X-ray Anatomy
Lateral Hip X-ray Anatomy
Pelvic X-ray Anatomy
Pectus carinatum
Chest X-Rays
Recent MCQs
Show more MCQs
Recent flashcard sets
Show more flashcards
Feed
Learn
Add
Search
Discuss