MEDizzy
MEDizzy
Dr Vijay Sharma
Dr Vijay Sharma almost 6 years ago
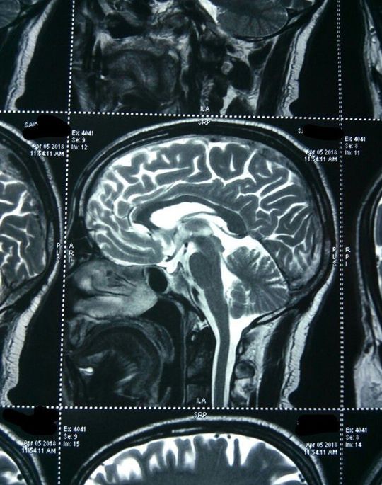
Headache for evaluation

Headache for evaluation

60 y male with 5 days history of progressively increasing severe holocranial headache . T2 MRI and contrast MRI shown

9
Other commentsSign in to post comments. You don't have an account? Sign up now!
almost 6 years ago

What is it??

almost 6 years ago

Is it a thalamus tumor?

Recent MCQs















Show more MCQs

Recent flashcard sets















Show more flashcards