
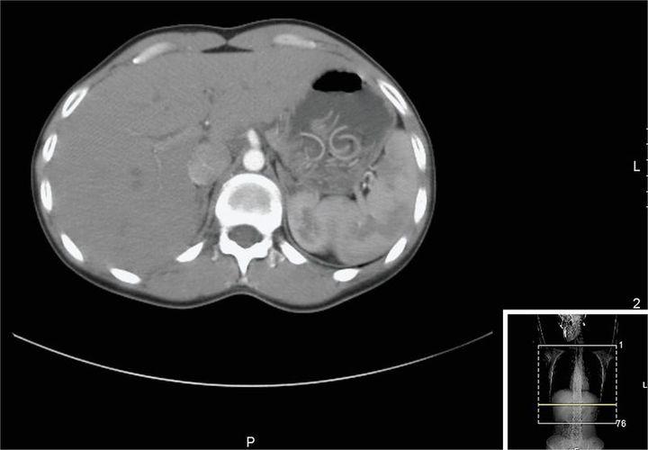
A 30-year-old woman who was otherwise healthy presented to the emergency department with worsening pain in the right upper quadrant that had developed approximately 10 days earlier. She reported that the pain was not radiating but that it was exacerbated by deep inspiration. A review of systems was notable for an irritating cough, decreased appetite, and generalized fatigue. The patient reported that she did not have any other symptoms. On physical examination, she was found to have diminished breath sounds over the right lung field and abdominal pain on palpation of the right upper quadrant. The results of routine blood testing were unremarkable. Axial images of the thorax (shown) and abdomen on a computed tomographic scan showed a distended stomach with worms present; three hypodense nodular formations of the liver were also evident, a finding consistent with biliary cysts. The patient was treated with mebendazole and passed Ascaris lumbricoides worms in her stool. On evaluation 2 months later, she was asymptomatic, and her stool tested negative for parasites. Patients infected with ascaris are often asymptomatic. When patients do present for evaluation, common signs of infection include cough, fever, abdominal discomfort, and eosinophilia. However, as was the case with this patient, the presentation may not follow this pattern, and the diagnosis may be made with imaging.