
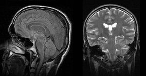
Narcolepsy is a long-term neurological disorder that involves a decreased ability to regulate sleep-wake cycles. Symptoms include periods of excessive daytime sleepiness that usually last from seconds to minutes and may occur at any time. About 70% of people also experience episodes of sudden loss of muscle strength, known as cataplexy. These spells can be brought on by strong emotions. Less commonly there may be inability to move or vivid hallucinations while falling asleep or waking up. People with narcolepsy sleep about the same number of hours per day as people without, but the quality of sleep tends to be worse. Image: Normal cranial MRI images (sagittal FLAIR and coronal T2W images, respectively) in patient with narcolepsy. @medicalcortex #medstudent #nurse #doctor #surgery #surgeon #medicine #premed #usmle #med #stress #exams #neurology #neuroscience #study #motivation #motivated #amman #jordan #book #dopamine #medicalbooks #serotonin #psychology #psychiatrist